Rehabilitación Oral

Rehabilitación Oral en Managua

En la Clínica Odontológica Mongalo brindamos puentes o coronas libres de metal y circonia, removibles, restauración con resina y amalgama; carillas de porcelana veneers e incrustaciones inlay-onlay.

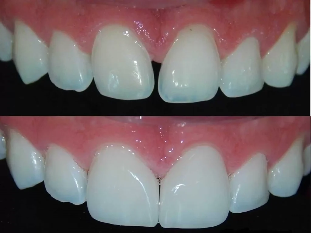
Carillas de porcelana

15% de descuento solo por este mes.
Las carillas de porcelana son una solución rápida para mejorar la estética dental en tiempo récord. Mejora los dientes decolorados, espacios abiertos, fractura dental, dientes torcidos o cualquier alteración dental.

Solicite una valoración sin costo

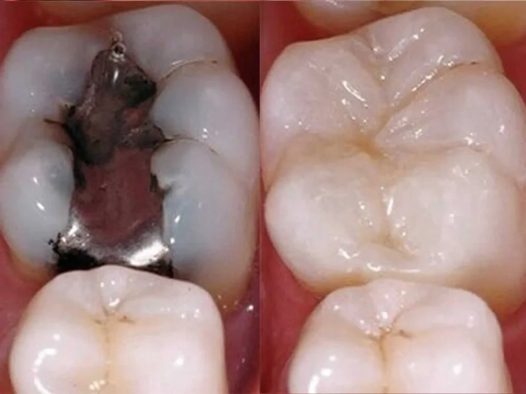
Incrustaciones inlay-onlay con resina y amalgama

15% de descuento solo por este mes.
Las incrustaciones dentales inlay y onlay son restauraciones que se usan para reparar dientes posteriores que tienen caries de leve a moderada. También se pueden utilizar para restaurar los dientes que están agrietados o fracturados si el daño no es tan importante como para requerir una corona dental.

Coronas o puentes libres de metal

¿Necesita coronas o puentes libres de metal? Nosotros las tenemos en 24 horas con la ayuda de tecnología robótica.
Trabajamos con la última tecnología, la cual sumada a nuestra amplia experiencia, nos permite ofrecerles resultados rápidos y naturales para restaurar una bella sonrisa.