Endodoncia

Especialista en Endodoncia en Managua

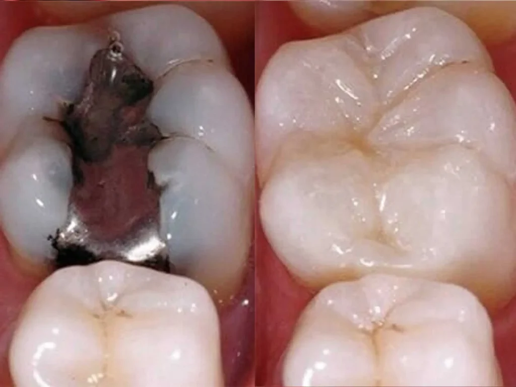
El tratamiento de endodoncia, es requerido cuando un diente presenta: dolor, infección, fractura, y decoloración entre otros síntomas. Es una alternativa para evitar la extracción del diente, siempre que el diente este apto para ser restaurado. ¿Sabía que las antiguas restauraciones de amalgama no son para nada estéticas y contienen mercurio? Nosotros se las cambiamos por resinas o porcelana en una cita.

Solicite una valoración sin costo